预约
挂号
联系
我们
就诊
指南
常见
问题
返回
顶部
请输入关键字
10小时攻坚,我院多学科协作成功救治孟加拉国患儿 2026.04.03

近日,我院小儿外科联合肝移植中心、消化内科、血管外科、麻醉科、放射科、超声医学科、重症医学科等多学科团队(MDT)协作,历时10小时17分钟,成功为一名4岁孟加拉国籍女童实施门静脉海绵样变根治手术。目前患儿恢复良好,术后12天便康复出院,再次彰显华西医院在疑难危重症领域的过硬实力与国际影响力。

病情危急:外籍女童反复出血,病因直指罕见血管畸形

该患儿为4岁女孩,因反复呕血、黑便5月个多,在本国曾因食管胃底静脉曲张出血接受过内镜下套扎治疗,但门静脉高压的根本问题仍未解决。他们了解到华西医院小儿靳曙光主任医师团队有着丰富的疑难复杂儿童肝胆外科疾病及儿童门静脉海绵样变的成功救治经验,出于对我院及靳曙光医师团队的信任,因此患儿父母携患儿不远万里来我院跨国求医,于2026年03月03日来到我院急诊,收入小儿外科。

入院后,小儿外科为患儿开展了全面检查:影像学检查显示,患儿门静脉主干海绵样变性,肝门区大量侧支循环,脾脏重度增大,食管胃底静脉重度曲张;实验室检查提示血小板减少、凝血功能异常。结合患儿病史与检查结果,最终诊断为门静脉海绵样变伴门静脉高压。

据了解,门静脉海绵样变(Cavernous Transformation of Portal Vein, CTPV)是一种罕见的血管畸形,常引发门静脉高压、消化道出血等致命性并发症。该患儿入院前已多次出血,且合并血小板减少及凝血功能异常,随时可能大出血危及生命。

多学科联动:精准评估,敲定高难度根治方案

面对患儿复杂的病情与极高的手术风险,小儿外科立即邀请肝移植中心、消化内科、血管外科、麻醉科、放射科、超声医学科、重症医学科等多个科室专家共同会诊,并组建多学科(MDT)诊疗团队,全面评估患儿病情,最终确定为其实施Meso-Rex手术——这是目前是治疗儿童门静脉海绵样变的最佳方式。

Meso-Rex手术示意图

Meso-Rex手术又名“肠系膜上静脉-门静脉左支血管搭桥吻合术”,是通过血管重建跨越梗阻段,恢复门静脉入肝血流,解除门静脉高压。该术式技术难度高、耗时久、对多学科协作的要求尤为严苛。而该患儿年仅4岁,血管条件差(门静脉左支直径仅4mm),可供移植的血管十分有限,进一步增加了手术的风险和难度。

为确保手术万无一失,多学科团队制定了周密的手术方案及应急预案:术前,放射科与超声医学科通过超声及CT血管三维重建,精准评估病变及血管发育情况;消化内科介入团队行选择性静脉造影,绘制"血管地图"精准定位;麻醉科与重症医学科提前做好风险防控,为手术全程保驾护航。

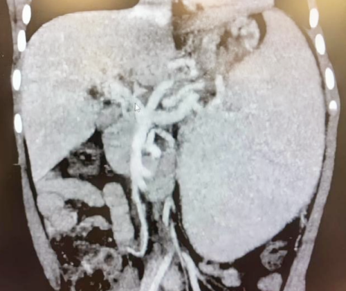
术前CT血管影像评估:门静脉主干阻塞、肝门血管海绵样变、脾大

10小时攻坚:精细操作,破解多重手术难题

3月10日,手术按计划实施,一场跨越国界的生命救援正式拉开序幕。 由于患儿合并食管胃底静脉重度曲张,麻醉诱导期大出血的风险极高。麻醉科团队凭借丰富的临床经验,周密评估、严防严控,顺利完成麻醉插管,为手术筑牢第一道防线。

随后,消化内科介入团队经股静脉穿刺行肝静脉造影,进一步明确病变范围,精准评估搭桥血管条件。术中证实门静脉主干海绵样变性,左支直径4mm、显影良好,肝内分支通畅,具备手术条件。

手术进入关键阶段,小儿外科团队探查见肝门区大量迂曲侧支血管,门静脉主干狭窄畸形。血管外科团队选取患儿右侧颈内静脉作为搭桥血管,该颈内静脉管径粗直、无瓣膜,且双侧可代偿,为Meso-Rex术理想搭桥血管;但颈部解剖结构复杂,静脉位置深在,获取过程极易损伤重要神经与血管,操作难度极大。团队专家凭借精湛的技术,精细操作,成功游离右侧颈内静脉长度约6㎝,并结扎细小属支,完整切取备吻合。

转回腹腔行血管吻合是本次手术的核心环节,也是最具挑战性的一步。患儿静脉壁薄、血流缓,吻合段发育欠佳,且直径仅4mm,重建难度高;稍有不慎便可能导致吻合口狭窄或血栓形成,进而引发症状复发甚至门静脉系统阻塞。小儿外科与肝移植中心团队采用显微外科技术,在放大视野下精细缝合,每一针都精准到位,确保吻合口光滑通畅。

历时10小时17分钟的连续奋战,手术成功最终取得圆满成功。术中超声显示,桥血管血流通畅,出血仅150ml。术后CTA检查证实,重建血管通畅,门静脉高压根本缓解,患儿消化道再出血的风险彻底解除。

术后血管重建影像:肝门搭桥血管血流通畅、脾脏较术前缩小

术后,重症医学科与小儿外科医护团队密切监测患儿生命体征,制定个性化护理方案,精心照料患儿的饮食、用药与康复训练。在医护人员的悉心呵护下,患儿恢复顺利。术后第12天,患儿精神、饮食、睡眠等一般情况良好,无发热、腹痛、黑便等不适,腹部伤口敷料清洁干燥,恢复情况良好,顺利康复出院。出院时医护人员详细告知患儿家属,需规律口服抗凝药物半年,定期复查血常规、肝功能、凝血常规及影像学检查,确保患儿后续恢复顺利。

 

小儿外科靳曙光主任医师表示:"Meso-Rex术作为重建肝脏门静脉血流的根治性手术,操作过程复杂,对吻合精度的要求极为严格,且手术耗时较长。同时,这是一例外籍患儿,语言沟通和文化差异给诊疗工作带来额外挑战,但团队以专业的技术和温度的服务,赢得了赢得了患儿家属的信任,也完成了这场跨越国界的生命救援。"

据悉,我院"儿童门静脉高压症多学科联合诊疗中心"自成立以来,已累计开展高难度手术逾百例,治疗水平达国际先进水平。此次成功救治孟加拉国患儿,更彰显了我院作为国家级医学中心,在疑难危重症领域的综合实力与国际影响力,为跨国医疗救治贡献了中国医者的力量。

作者:小儿外科 编辑:李可欣 刘欢 来源:小儿外科
基本信息填写
您的姓名:
联系方式:
电子邮箱:
问题类型:

select…

  • 内容无法访问
  • 信息不更新
  • 内容不准确
  • 错别字
  • 图片不准确
  • 其他
问题页面网址:
问题描述:
验证码: