预约
挂号
联系
我们
就诊
指南
常见
问题
返回
顶部
请输入关键字
指南共识|郭应强教授牵头、15家中心联合发布:一文掌握经心尖入路TAVR手术操作规范 2023.03.21

经导管主动脉瓣植入术(transcatheter aortic valve replacement,TAVR)是一种微创瓣膜植入手术,其通过导管介入技术植入人工瓣膜实现病变主动脉瓣的原位植入,恢复瓣膜功能,无需体外循环和心脏停跳。自2002年全球首例TAVR完成以来[1],其发展迅速。我国自2010年完成首例植入后,每年手术量大幅增长,已有多家公司产品获得国家食品药品监督管理总局的批准上市。目前国内外指南主要集中于主动脉瓣狭窄(aortic stenosis,AS)的适应证及操作规范,且很多研究集中在股动脉入路经导管主动脉瓣植入术(transfemoral trans-catheter aortic valve replacement,TF-TAVR)[2-3],心尖入路尚缺乏完整的规范与指南。现有球囊扩张瓣膜(球扩瓣)或自膨胀式瓣膜(自膨瓣)多设计为经股动脉入路[4-5],部分也可通过经心尖路径释放,但其适应证主要为AS。对于单纯主动脉瓣反流(aortic regurgitation,AR)、冠状动脉(冠脉)开口低、外周血管细小等不适用于TF-TAVR的情况,经心尖入路经导管主动脉瓣植入术(transapical transcatheter aortic valve replacement,TA-TAVR)具有较为明显的优势[6]。截至2022年,国内TA-TAVR手术数量>4000例,临床效果良好,在国内180家医院广泛开展,但目前尚无TA-TAVR相关操作规范。专家组参考国内外TAVR的相关研究、指南和临床实践标准,检索国内外的主要电子数据库,包括PubMed、Web of Science、中国知网、万方数据库、欧洲心脏病学会/欧洲心胸外科学协会(ESC/EACTS)指南及美国心脏病学会/美国心脏协支(ACC/AHA)指南等,分析近20年来相关文献资料,结合国际现行临床指南,综合国内TA-TAVR经验较为丰富的15家中心专家的意见编写本操作规范,旨在为TA-TAVR提供规范的操作流程,利于技术推广,降低并发症发生率,使更多患者获益。

01

场地及设施设备要求

TA-TAVR建议在杂交手术室开展,所用设施设备包括:数字减影血管造影(digital subtraction angiography,DSA)、麻醉及监护系统、术中经食管超声心动图(transesophageal echocardiography,TEE)、体外循环系统和血液回收装置,以及多功能手术床、高压注射器、手术灯、各类吊塔、高分辨率显示器等配套手术设备[7-8]。不具备杂交手术室的单位,可在具备心脏手术洁净级别要求的导管室内,通过临时备用体外循环设备后实施。

02

人员配置和站位

设备摆放位置及人员站位见图1,有部分中心采取所有术者位于患者左侧,显示屏位于患者右侧的站位方式,方便术者观察显示屏,各中心可根据设备情况和操作习惯选择适合的方式。

图片

图1 手术室仪器摆放及人员站位示意图

(具体位置可根据各中心设备情况及操作习惯做适当调整;DSA:数字减影血管造影;TEE:经食管超声心动图)

参考国外TAVR专家共识[9],人员配备建议组建心脏团队(heart team)应包括心血管外科手术医师团队、瓣膜介入医师团队、心血管内科医师团队、麻醉科医师团队、影像评估医师团队、护理团队、康复管理团队。此外应包括多学科专家提供必要支持:全天候起搏器植入能力的电生理医师团队、全天候卒中治疗的神经科医师团队、具备透析支持的肾脏病医师团队等。

术中主要人员配备如下:配备具有副高或以上职称的心脏外科主刀医师1名,该医师应具有丰富的外科手术(具备≥100次心脏直视手术经验,且≥25次与主动脉瓣相关)及介入手术经验[9],统筹管理患者手术的全过程。

配备心脏内科介入医师或具备同等介入经验的医师1名,负责术中临时起搏器安置、造影、图像分析等介入操作。

配备手术助手2~3名,1名协助心脏介入医师操作,根据主刀医师习惯配备1~2名助手协助主刀医师完成操作。

主治或以上职称麻醉医师1名负责患者麻醉管理,并配备1~2名麻醉住院医师协助工作。

1~2名体外循环医师常驻手术室,紧急情况时能以最快的速度配合主刀医师建立体外循环。

配备1~2名器械护士兼职瓣膜装载或由专职人员完成,1~2名巡回护士,熟练的护理团队让手术流程更流畅,紧急情况下及时应急处理能增加患者安全性。

配备1~2名介入技师,为手术提供高质量的图像。

03

适应证

根据2020 AHA/ACC瓣膜病管理指南及2021 ESC/EACTS瓣膜疾病指南、国内相关专家共识及现有的临床研究经验[2-3,10],本方案主要针对TA-TAVR治疗主动脉瓣病变作出如下推荐:

(1)需临床干预的重度主动脉瓣病变患者,年龄>80岁或外科高危(STS-PROM/EuroSCOREⅡ>8%)或不适合外科手术者,推荐TAVR治疗。患者年龄65~80岁,考虑瓣膜耐久性、患者预期寿命、解剖条件和手术风险等因素,可多学科讨论后与患者共同决定行TAVR或外科主动脉瓣置换术(surgical aortic valve replacement,SAVR)治疗;

(2)重度AR患者,有手术指征者,参考上述年龄和外科风险因素,经心脏团队评估主动脉根部及瓣膜解剖条件适合,推荐TA-TAVR治疗;

(3)重度AS患者,如股动脉入路无TAVR解剖限制,推荐TF-TAVR。如有入路限制条件或其他不利解剖因素(如横位心、冠脉梗阻高风险等),可考虑TA-TAVR;

(4)对于外科风险较高的主动脉瓣生物瓣衰败患者,可考虑行瓣中瓣TAVR手术;

(5)对于二叶式主动脉瓣(bicuspid aortic valve,BAV)患者,干预指征参考三叶式主动脉瓣,建议在经验丰富的瓣膜中心进行;

(6)对于BAV患者主动脉窦部和/或升主动脉内径>45 mm,三叶式主动脉瓣患者主动脉窦部和/或升主动脉内径>50mm,应充分评估外科风险,如非外科高危,建议SAVR同时处理主动脉窦部和/或升主动脉。如外科手术高危,在与患者及其法定委托人充分沟通后,可考虑TAVR手术处理主动脉瓣膜病变。

04

TA-TAVR手术操作流程

术前完善超声心动图、心电门控心血管增强多排螺旋CT、心电图、实验室检查等项目,明确是否具备手术适应证,排除手术禁忌,确定瓣膜型号和术中策略。完善患者知情同意,并签署相关医疗文书。全身麻醉下完成手术(该部分内容详见《心尖入路经导管主动脉瓣植入术麻醉管理规范》[11]及本刊后续将发表的TA-TAVR手术技术系列规范)。

4.1 体位摆放

患者常规取仰卧位,双臂平放身体两侧,不建议垫高左胸,垫高后对手术操作无太大改善,反而影响术前测量的瓣环最佳投射角度。心电图连接线尽量沿患者两侧摆放,体外除颤电极摆放位置为右侧位于右肩,左侧位于左侧锁骨中线,第9肋间以下,避免遮挡术中显影和拟实施手术操作的部位(图2)。消毒范围应兼顾到中转正中开胸、股动静脉置管、经颈静脉鞘管置入临时起搏电极等情况,应超过心尖切口部位15cm以上。铺巾时胸部术野左侧显露至腋中线,右侧至锁骨中线,上界至胸骨上窝或颈静脉鞘管开口上沿(根据临时起搏导线位置决定),下界为剑突下5cm左右。如为女性患者可在消毒后利用无菌贴膜将左侧乳房尽量向右上方牵拉以显露切口区域。双侧腹股沟区常规消毒暴露。

图片

图2 体位摆放及体外除颤电极位置示意图

(心尖处除颤电极需避免遮挡术中显影和拟实施手术操作的部位)

4.2 鞘管通路建立及临时起搏器安置

穿刺一侧股动脉置入5F(French)或6F鞘管,作为造影导管通路,穿刺点应位于腹股沟韧带以下,股深、股浅动脉分叉以上。如术前无影像评估腹部以下血管情况,可在超声引导下穿刺,再经鞘管手推造影剂或送入“猪尾”导管造影,观察穿刺点位置是否正确,腹主动脉至股动脉血管走行、直径等。

经股静脉或颈静脉穿刺鞘管置入右室临时起搏电极,电极尖端一般位于右室心尖部或室间隔(图3),置入过程操作轻柔,全程避免导线张力过高,以免造成右室穿孔[12]。起搏电极到位后,须测试并确保其稳定工作。因TA-TAVR传导阻滞发生率相对较低,对于传导阻滞发生低危患者,即术前无完全性右束支传导阻滞,瓣膜植入后心电图无变化,可术毕拔除起搏导线,有利于患者尽早下床活动;如术前评估患者传导阻滞发生率较高,即术前心电图提示完全性右束支传导阻滞,或术中出现QRS波变宽,完全性左束支传导阻滞[13-14],则可选择保留经颈静脉心内膜临时起搏电极,或瓣膜植入后心尖缝合心外膜临时起搏电极,术毕保留起搏导线的同时不影响患者下床活动,利于术后康复。

图片

图3 临时起搏电极置入

(a:穿刺鞘管置入右心室临时起搏电极;b:经股静脉;c:颈静脉)

4.3 心尖位置确定及荷包缝合

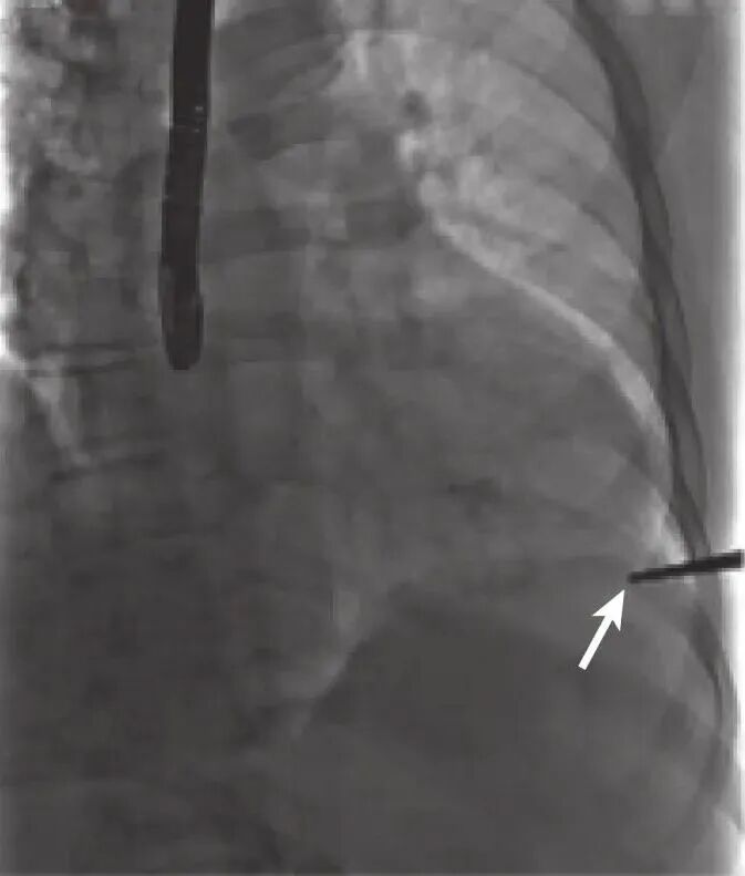
确定心尖位置对TA-TAVR的后续操作至关重要,在DSA下定位最具有指导意义,也可参考心表触诊,术前CT和术中经胸超声心动图(trans-thoracic echocardiography,TTE)辅助定位。在DSA透视下,将血管钳尖端置于体表左室心尖投影位置(图4),以该点为中点沿肋间走行方向做一3~5cm切口。游离皮下组织,沿肋间隙切开肌肉组织进入胸腔,避免损伤神经血管束。进入胸腔时可先开一小口用手指探查心尖位置是否位于该切口对应肋间,如位置不合适可重新选择上一肋间或下一肋间进入胸腔。肋骨撑开器撑开肋骨,显露心包,左肺通气一般不影响左室心尖部的暴露,如有影响可请麻醉医师调整呼吸机参数或用湿纱布将其压向背侧。心尖有时正对肋骨而非肋间隙,此时可通过切开心包的位置对心尖位置做适当调整。例如心尖位于切口所在肋间隙足侧,我们可以将心包切口靠足侧,通过悬吊足侧心包将心尖稍向头侧牵拉。如心尖位置仍不满意,可在心脏后垫小纱球来调整心尖位置至切口正中,心尖部随心脏收缩而旋转的心脏裸区为最佳位置,通常围绕该区域缝合荷包。特殊情况下心尖荷包部位难以确认,可通过TEE引导,手指按压心脏来确定心尖位置。大部分患者的心尖裸区显露良好,部分患者心尖被脂肪覆盖,需要先分离或去除心尖部位脂肪组织,彻底显露心尖的肌性组织(图5)。

图片

图4 数字减影血管造影(DSA)下定位心尖位置

(白色箭头示在DSA下将血管钳尖端置于体表左室心尖投影位置)

图片

图5 心尖显露示意图

(a:切开位置选择示意图;b:悬吊心包后显露心尖区域;c、d:如心尖区域被脂肪覆盖,则分离或去除心尖部位脂肪组织,彻底显露心尖的肌性组织)

TA-TAVR的关键步骤之一是对左室心尖部有效止血。通常用2根带有垫片的3-0或者2-0聚丙烯缝线缝合六边形荷包可有效止血,也有医疗中心采用2个水平褥式缝合荷包[15]。进针时避免损伤冠脉分支,进针深度应接近心肌全层,不应因为担心穿透心肌而进针过浅,即使完全穿透心肌也好于进针过浅。荷包大小应稍大于输送器,每个荷包都上套管(snare),在鞘管或植入器拔除时收紧止血(图6)。

图片

图6 心尖荷包六边形缝合

a:六边形荷包缝合示意图;b:六边形荷包缝合实体图

4.4 导丝跨瓣建立瓣膜植入轨道

荷包缝合完成后,给予肝素(0.5~1mg/kg)使全血活化凝血时间(activated clotting time,ACT)维持在250~400s。经股动脉鞘送入“猪尾”导管至主动脉瓣环平面,可作为主动脉瓣位置的参照。经心尖荷包正中送入穿刺针,针尖垂直于心肌刺入。心室收缩能见鲜红的氧合血喷出可以初步确定进入左室。如果没有氧合血喷出,表明穿刺针有可能刺入室间隔;若能看到搏动的静脉血,表明穿刺针可能已经穿过室间隔进入右心室,应退出重新穿刺。当确定有鲜红血液喷出时,保留穿刺鞘退出穿刺针,送入导丝尝试跨过主动脉瓣口,过瓣后用TEE反复确认导丝是否缠绕二尖瓣腱索,如果存在缠绕,应撤出导丝,避开缠绕后重新跨瓣(图7)。随后沿导丝送入5F鞘管,通过鞘管送导引导管及交换导丝,两者配合使导引导管进入降主动脉,交换加硬导丝(extra stiff),将加硬导丝头端塑型盘成一小圈,DSA下沿导管将导丝送入髂动脉平面,以避免后续操作过程中导丝进入腹腔重要分支血管导致损伤,经加硬导丝交换成14F或16F鞘管,一方面可扩张穿刺点以利于植入器顺利进入,另一方面可以装载球囊用于预扩和后扩。

图片

图7 跨瓣时避免导丝缠绕二尖瓣腱索

(a:TEE下导丝紧贴室间隔跨过主动脉瓣口;b:TEE下导丝远离室间隔,靠二尖瓣前瓣侧跨过主动脉瓣口;c:DSA下导丝平滑通过主动脉瓣口,a、c:导丝与二尖瓣腱索无缠绕;d:DSA下导丝在心室内稍有打折,b、d:导丝与二尖瓣腱索有缠绕,需重新跨瓣;TEE:经食管超声心动图;DSA:数字减影血管造影)

4.5 球囊预扩

单纯AR患者通常瓣叶无明显增厚及钙化,绝大多数情况下无需球囊预扩。

AS患者,根据瓣膜选择的大小,一般选择小于瓣膜1~2 mm的球囊进行扩张。提前使用1:4~1:6稀释的造影剂进行球囊排气操作,尽可能排尽球囊中残留气泡,避免在极端情况下,球囊破裂导致气栓。准备完成后将球囊经心尖处鞘管送入升主动脉,根据术前CT评估将C臂调整至最佳投照角度,即3个瓣窦最低点位于同一平面,右冠窦位于图像正中,无冠窦位于左侧,左冠窦位于右侧(图8)。然后将“猪尾”导管放入主动脉窦造影,观察主动脉瓣瓣环、主动脉窦、窦管交界、升主动脉、左右冠脉等结构,分析术中可能造成的影响及应对方案。继而将球囊中点置于瓣环平面。开始快室率起搏,起搏频率为160~220次/min之间,收缩压≤60mm Hg(1mm Hg=0.133 kPa),脉压≤10mm Hg时球囊扩张。球囊扩张完成后将球囊撤回鞘内,TEE评估球囊扩张效果、有无并发症,必要时再次球囊扩张[16]

图片

图8 最佳投影角度示意图及术中DSA图像

a:最佳投照角度示意图(3个瓣窦最低点位于同一平面,右冠窦位于图像正中,无冠窦位于左侧,左冠窦位于右侧);b:术中DSA图像;DSA:数字减影血管造影

4.6 瓣膜定位及释放、植入鞘撤除

对于单纯AR国内目前仅J-Valve一款正式上市的TA-TAVR产品,治疗单纯AR具有代表性,本文瓣膜释放过程以J-Valve为例。建立轨道后,沿加硬导丝送入植入器,确定人工瓣膜及定位件位于主动脉瓣环平面以上,将“猪尾”导管拉至升主动脉远端。旋转操作键1,释放出定位件,调整定位件方向,使其对准3个瓣窦,回拉植入器使3个定位件分别进入主动脉瓣窦内。如3个定位件方向与造影时的主动脉窦基本对应,且随着瓣膜活动3个定位件活动幅度一致,则大概率正确捕获主动脉瓣叶。然后旋转操作键2,在定位件没有明显形变情况下,将瓣膜下拉至瓣环平面,如瓣膜下拉过程中定位件发生较大形变,则可能定位件不在正确位置,需重新调整。瓣膜到瓣环平面后将“猪尾”导管送入主动脉窦,造影确定定位件和瓣膜位置是否正确,如位置不正确则重复上述过程直到造影确认位置正确。位置正确后术者左手稳住植入器,避免移位,打开操作键3释放瓣膜,一般无需起搏。TEE评估瓣膜位置及瓣周情况,瓣膜支架膨胀情况。

确定瓣膜位置满意、支架完全扩张后,可进入植入器回收程序,先交替反向旋转操作键2、3将前端鞘管恢复至瓣膜释放前状态,旋转操作键4释放定位件锁丝完全释放瓣膜,在轴向良好的情况下将植入器前端退回瓣膜平面以下,然后边反向旋转操作键1边退植入器,直到操作键1 旋转到底,表明植入器前端完全关闭,然后完整撤出植入器,收紧套管(snare)止血。TEE评估是否需要后扩,单纯AR患者一般无需后扩,AS患者如需后扩操作方法如上述,后扩球囊大小一般不超过本身瓣膜型号,后扩满意则撤出球囊,需注意在送入和撤出球囊过程中控制加硬导丝,保证球囊位于瓣膜正中,避免球囊造成瓣膜移位。TEE评估瓣膜形态、工作状态、瓣周漏等情况。如人工瓣膜工作正常,导引导管辅助下撤出加硬导丝,再次造影确定瓣膜位置是否正确、是否存在瓣周漏及大小、冠脉血流是否通畅及主动脉是否受损等情况,撤回“猪尾”导管,根据心律情况评估是否拔除临时起搏导线,进入止血等收尾工作。

对于BAV患者变异度大、难度较高,建议积累较多经验后再尝试该类型手术。

另外还有部分球扩瓣或自膨瓣可通过心尖入路释放[17],主要针对AS或生物瓣衰败患者,其他步骤可参照本操作规范,释放过程可按瓣膜操作说明执行,总体原则相同。

4.7 入路闭合

收紧心尖荷包,打结止血,打结时注意张力适当,达到止血效果即可,避免过度收紧造成心肌撕裂。通常两个荷包打结可达到满意止血效果,如仍有出血,可使用带垫片3-0或4-0聚丙烯缝线褥式缝合止血,务必保证心尖部位无出血。冲洗心包腔和胸腔,安置小口径胸腔引流管,建议切口处行肋间神经阻滞或其他胸壁神经阻滞(详见《心尖入路经导管主动脉瓣植入术麻醉管理规范》[11]),减少术后疼痛。然后逐层关闭切口。

05

并发症处理

5.1 人工瓣膜位置不当

主要包括瓣膜植入过深或过浅、瓣膜移位进入左心室、瓣膜移位进入升主动脉。主要原因可能与操作不当、人工瓣膜尺寸选择不当、自身瓣膜结构特殊等原因造成。较理想的瓣膜位置一般为瓣架下1/3位于瓣环平面以下,2/3位于瓣环平面以上。若过深、过浅均增加瓣周漏风险,过深还会导致传导阻滞风险增加。瓣膜过浅有可能导致其移位进入升主动脉。瓣膜移位进入左心室、升主动脉可能导致循环崩溃、重要脏器血管堵塞、主动脉夹层等严重并发症[18]。总体来讲,瓣膜过深、过浅如为轻度或微量瓣周漏,瓣膜位置稳定可不做处理,如中度及以上瓣周漏可能需要植入第2枚瓣膜补救。瓣膜移位进入升主动脉的部分患者可使用球囊将瓣膜轻柔推入或拉入降主动脉左锁骨下动脉开口以远释放或固定,然后在主动脉瓣位植入第2枚瓣膜,但该方法为高风险特殊操作,需仔细评估主动脉直径大小、走行情况,慎重使用,以免造成主动脉夹层等更严重的并发症。如移位进入左心室或进入升主动脉经评估无法靠介入办法处理,建议积极开胸处理。开胸前保留导丝或导管在瓣膜内,可避免瓣膜翻转,影响循环。

5.2 瓣周漏

瓣周漏为TAVR术后常见的并发症,中度以上瓣周漏发生率为3.1%~21.6%[19-20],主要原因有:(1)瓣膜释放位置过深、过浅或同轴性差;(2)主动脉根部结构严重钙化,特别是不均匀钙化导致人工瓣膜无法紧密贴合;(3)选择瓣膜过小[21]。中度及以上瓣周漏均应积极处理。术前良好影像学评估、选择合适的瓣膜,尽量减少因型号选择不合适导致的瓣周漏。操作时定位准确有助于减少瓣周漏,瓣膜植入过深或过浅均可能导致瓣周漏,部分患者可通过“瓣中瓣”技术解决[22]。AS术后即刻瓣周漏可能为瓣膜扩张不完全所致,选择合适球囊后扩可减少或消除瓣周漏[23]。少数患者由于钙化不均匀导致位置局限的瓣周漏,可尝试瓣周漏封堵技术。如介入技术无法解决中重度瓣周漏,可根据患者情况考虑外科手术治疗[24]

5.3 出血相关并发症

心尖出血主要与心肌组织脆弱、缝合不当、心室肌承受张力能力、荷包位置选择不当等有关。总体而言经心尖途径本身是安全的[25-26],参照前文所述心尖荷包缝合方法,可以避免绝大多数严重出血。然而,一旦发生心尖撕裂,外科处理非常棘手,尤其是在组织易碎或心尖位置选择不当的情况下,必要时可以通过股股转流,降低左室心肌张力下缝合。当撕裂处视野显露困难,可考虑开胸建立体外循环,心脏停跳下进行无张力修补。

TA-TAVR 在建立外周血管通路时所使用鞘管较小,选择正确的穿刺位置和穿刺技术,一般可以避免严重的外周血管并发症[27]

5.4 冠脉梗阻

冠脉梗阻是TAVR术后严重并发症,发生率不到1%,但死亡率可达40%~50%[28],发生原因主要包括自身瓣叶、钙化团块、人工瓣膜等阻挡冠脉开口、钙化碎片脱落堵塞冠脉、主动脉夹层累及冠脉开口等。通常将冠脉开口高度≤10mm,主动脉窦部内径≤30mm,瓣叶长度大于相对应的冠脉开口高度视为冠脉梗阻高风险。术前仔细测量主动脉窦宽度、高度、瓣叶长度及冠脉开口高度等,术中球囊预扩张辅以造影,可预判对冠脉开口可能的影响,对于解剖高危患者应避免行TAVR 手术或提前预置冠脉保护措施[29]。J-Valve或同类有定位件设计的新一代介入瓣膜,定位件可抓捕主动脉瓣瓣叶使其远离冠脉开口,具有一定的冠脉保护作用[30-32],对冠脉低开口患者经仔细评估冠脉与瓣叶、钙化团块、窦部大小等关系,充分评估风险后,可由经验丰富的术者进行手术。对于已经明确发生堵塞的患者,应立即介入治疗开通冠脉,如不成功需立即中转开胸取出TAVR瓣膜行SAVR[33]

5.5  脑卒中

TAVR 相关脑卒中经股动脉和经心尖两种途径发生率相近,约3.9%,可能由于主动脉壁粥样斑块脱落、主动脉瓣钙化碎片脱落、长时间低血压或高血压、主动脉夹层累及主动脉弓及分支所致[33-34]。术中充分抗凝、轻柔操作降低斑块脱落风险、避免气泡进入循环系统等措施减少其发生几率。研究[35]报道,脑保护装置可能减少斑块或碎片脱落所致卒中。一旦发生卒中,及早请神经科医生参与治疗。

5.6 传导阻滞

传导阻滞是TAVR 手术的常见并发症之一,瓣膜释放后对传导系统的压迫是产生的主要原因[36]。表现为新发或加重的传导阻滞等,一旦出现Ⅲ度房室传导阻滞,则需考虑安装永久起搏器治疗。有研究[37]表明TAVR术后30d永久起搏器植入率高达15%,影响患者生活质量。J-Valve相较于经股动脉瓣膜产品,永久起搏器植入率显著降低[6,38],可能原因为:(1)定位件夹持瓣叶提供一定的纵向支撑力,瓣膜选择不需要过大的oversize;(2)定位件辅助定位可避免瓣膜过深。避免人工瓣膜释放位置过深、避免选择直径过大的瓣膜可减少传导阻滞发生率。对术前已存在右束支传导阻滞的患者,选择该类短支架瓣膜可能降低安置永久起搏器几率。

5.7 循环崩溃

循环崩溃可见于心功能差、电解质紊乱、小左心室、AS患者球囊扩张后重度反流、冠脉梗阻等患者,随着外科及麻醉技术提高,大多数患者可以避免,可参照《心尖入路经导管主动脉瓣植入术麻醉管理规范》[11]相关内容以预防为主,但同时必须做好紧急预案。因球囊扩张后主动脉瓣重度反流引起的循环崩溃,应快速释放瓣膜,瓣膜释放后多可恢复;如系冠脉梗阻,需紧急处理冠脉问题。循环崩溃后,如药物处理后仍不能维持循环稳定,建议快速经股动静脉建立体外循环或体外膜肺氧合(extracorporeal membrane oxygenation,ECMO)辅助下完成瓣膜植入,术毕根据情况决定继续ECMO支持或术中撤离[39]

06

局限性

由于TA-TAVR 缺少大样本多中心随机对照研究,本操作规范主要根据国内专家临床经验制定,仅供临床参考。后续希望通过进一步的研究,增加证据等级,并及时更新。

利益冲突:无。

TA-TAVR手术技术规范编写组成员(按姓名拼音排序):

程才(华中科技大学同济医学院附属同济医院)、陈庆良(天津市胸科医院)、董丽莉(复旦大学附属中山医院)、戴小福(福建医科大学附属协和医院)、龚文辉(安徽医科大学第一附属医院)、侯晓彤(首都医科大学附属北京安贞医院)、黄浩岳(苏州大学附属第一医院)、黄焕雷(广东省人民医院)、贾明(首都医科大学附属北京安贞医院)、蹇朝(陆军军医大学新桥医院)、江磊(青岛大学附属医院)、刘楠(首都医科大学附属北京安贞医院)、李伟栋(浙江大学医学院附属第一医院)、梁鹏(四川大学华西医院)、刘健 (广东省人民医院)、刘路路(四川大学华西医院)、刘洋(空军军医大学西京医院)、马燕燕(空军军医大学西京医院)、彭瑛(四川大学华西医院)、邱罕凡(福建医科大学附属第一医院)、尚小珂(华中科技大学同济医学院附属协和医院)、石峻(四川大学华西医院)、石凤梧(河北医科大学第二医院)、田海(哈尔滨医科大学附属第二医院)、汤敏(上海交通大学医学院附属新华医院)、万智(四川大学华西医院)、王首正(云南省阜外心血管病医院)、吴海波(大连医科大学附属第二医院)、宣海洋(中国科学技术大学第一附属医院)、谢涌泉(中国医学科学院阜外医院)、闫炀(西安交通大学第一附属医院)、杨晔(复旦大学附属中山医院)、叶晓峰(上海交通大学医学院附属瑞金医院)、赵元(中南大学湘雅二医院)、朱鹏(南方医科大学南方医院)、周庆(南京鼓楼医院)

核心专家组成员(按姓名拼音排序):

陈良万(福建医科大学附属协和医院)、陈玉成(四川大学华西医院)、程兆云(阜外华中心血管病医院)、董念国(华中科技大学同济医学院附属协和医院)、葛建军(中国科学技术大学第一附属医院)、郭惠明(广东省人民医院)、郭应强(四川大学华西医院)、姜楠(天津市胸科医院)、来永强(首都医科大学附属北京安贞医院)、李亚雄(昆明延安医院)、刘金平(武汉大学中南医院)、刘立明(中南大学湘雅二医院)、刘苏(河北医科大学第二医院)、刘先宝(浙江大学医学院附属第二医院)、柳克祥(吉林大学第二医院)、陆方林(海军军医大学长海医院)、马量(浙江大学医学院附属第一医院)、梅举(上海交通大学医学院附属新华医院)、潘湘斌(中国医学科学院阜外医院)、乔晨辉(郑州大学第一附属医院)、沈振亚(苏州大学附属第一医院)、王春生(复旦大学附属中山医院)、王东进(南京鼓楼医院)、王辉山(中国人民解放军北部战区总医院)、王坚刚(首都医科大学附属北京安贞医院)、魏来(复旦大学附属中山医院)、魏翔(华中科技大学同济医学院附属同济医院)、肖颖彬(陆军军医大学新桥医院)、徐志云(海军军医大学长海医院)、杨剑(空军军医大学西京医院)、尤斌(首都医科大学附属北京安贞医院)、张海波(首都医科大学附属北京安贞医院)、赵强(上海交通大学医学院附属瑞金医院)、郑宝石(广西医科大学附属第一医院)、郑少忆(南方医科大学南方医院).

执笔:石峻(四川大学华西医院)、赵元 (中南大学湘雅二医院)

参考文献略

作者:石峻1,赵元2,郭应强1,TA-TAVR手术技术规范编写组 编辑:李宁 许卓颖 来源:严道医声网
基本信息填写
您的姓名:
联系方式:
电子邮箱:
问题类型:

select…

  • 内容无法访问
  • 信息不更新
  • 内容不准确
  • 错别字
  • 图片不准确
  • 其他
问题页面网址:
问题描述:
验证码: